山形市の歯医者「あきらデンタル・クリニック」のSH療法の症例をご紹介します。
目次
SH療法の概要
あわせて読みたい


SH療法(狭窄歯列拡大法=顎拡大療法)
現代は食生活や生活習慣の大きな変化により、長い年月を経て日本人の顎骨が変化してきました。SH療法は、顎骨のマイナスの成長を本来であれば「その個人が成長するはず…
過蓋咬合を伴なう症例
主訴~経過
初診
2022年 6月1日 ⇒ 2024年 10月17日
30歳 7ヶ月 ⇒ 32歳 11ヶ月
初診時主訴
- 上顎左右2番が曲がっているのが気になる(右>左)
- 下顎左右1番が捻じれているのが気になる
- 下顎の器が小さいせいか?舌の置き位置が解らなくなる
家族歴
父 ⇒ よい
母 ⇒ よい
姉・妹 ⇒ 上顎左右2番捻転・叢生普通
弟 ⇒ よい
初診時特不定愁訴
- かなり多い
- 肩こり・首こりが著しい
- たまに仕事をしている時、右腰が「ズキッ」となる
初診時特徴
上顎左右2番唇側転位・捻転、上下顎叢生
右下4番(┑4)舌側傾斜
左下5番(┏5)捻転
症例写真
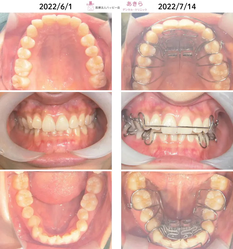
2022年 6月1日 初診時 ⇒ 7月14日 SHAスタート時

2022年 6月1日 初診時 ⇒ 2024年 9月7日 最終時

解説
経過
- 2022年 7月より「SHA=SH装置」SH療法スタート。
- 永久歯の抜歯をしないで並べる治療計画を立案しました。
- 上下顎狭窄歯列の解除を主に設計~スタートしました。歯列が直立してくることにより、早期接触がおこりますので、随時必要枠での咬合調整が必要になります。2級ゴム併用しております。
- 2級ゴム併用
- SHA修理0回
- 患者様要望より2024年5月より「フェードアウト」法により1日おきに外すようにしております。
- 2024年9月より週に3回SHA装着にしております⇒不定愁訴もほぼ改善傾向にあります。
回数
25回
後に 経過資料採得をして『SH療法』終了予定。
治療期間
2年2ヶ月
費用
803,000円(税込)…当時の価格です。
注意事項
- 装置は1日8時間~10時間が基本です。(必須です)
- また、装置を外している際の「鼻で息をする」「正しい唾の飲み込み」「しゃべり方」 「正しい姿勢をする」「きちんとした咀嚼」など…いかに装置を外している際の筋肉が正しい機能をするかで結果が変わります。狭窄歯列拡大中に必要枠での噛み合わせの調整が必要になったきます。また、個人に応じた機能訓練(あいうべ体操・スポット練習噛み込み練習~ガムトレーニングなど) をご指導しております。
- 成人において凸凹が著しいケースでは「ブラックトライアングル」が目立つケースもあります。態癖がSHA(SH装置)使用よりも上回って起きる場合には、結果が伴わないばかりか悪い方向へ動いたり、ズレたりすることがあります。