News
当院の最新情報
-
ブログ
口腔内スキャナーを導入しました!快適で精密な型取りを実現|山形市馬見ヶ崎のあきらデンタル・クリニック
山形市馬見ヶ崎の歯科医院「あきらデンタル・クリニック」です。このたび、当院では最新の口腔内スキャナーを導入いたしました! 従来の「粘土のような材料をお口に入れ… -
ドックベストセメント療法


ドックベストセメントの第一人者である小峰一雄先生より 最新著本を送って頂きました!
山形県馬見ヶ崎の歯医者あきらデンタル・クリニックの院長、隠明寺 亮です。 先日、著者のドックベストセメントの第一人者である小峰一雄先生より最新著本を送って頂き… -
SH療法


「SH療法セミナー」会員代表して 症例発表をして参りました
5月19日(日)東京 八重洲倶楽部で「SH療法セミナー」会員代表として症例発表をして参りました。 昨年末より構想~本年2月より始動して何とか準… -
ブログ


ポリリン酸ホワイトニングの効果とメリット・デメリット
山形市馬見ヶ崎の歯医者・歯科医院、あきらデンタル・クリニックです。今日は、当院で使用しております「ポリリン酸ホワイトニング」の効果とメリット・デメリットにつ…
Message
院長メッセージ


こんにちは。
山形市馬見ヶ崎の歯医者あきらデンタル・クリニック
院長の隠明寺 亮(おんみょうじ あきら)です。
当院では診療に関するカウンセリングを重視しております。
患者様ごとの症状や生活環境に合わせたオーダーメイドの治療計画が必要であると考えております。
来院された患者様に丁寧な説明を心掛け、納得をいただいた上で、できること・できないことを患者様になるべくお伝えしております。


こんにちは、山形市馬見ヶ崎の歯医者あきらデンタル・クリニック 院長の隠明寺 亮(おんみょうじ あきら)です。
当院では診療に関するカウンセリングを重視しております。患者様ごとの症状や生活環境に合わせたオーダーメイドの治療計画が必要であると考えております。
来院された患者様に丁寧な説明を心掛け、納得をいただいた上で、できること・できないことを患者様になるべくお伝えしております。
About
当院について
Features
当院の特長
Subject
当院の診療科目
Case
当院の症例
-
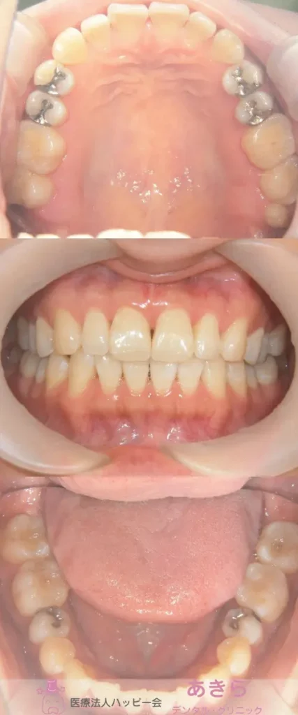
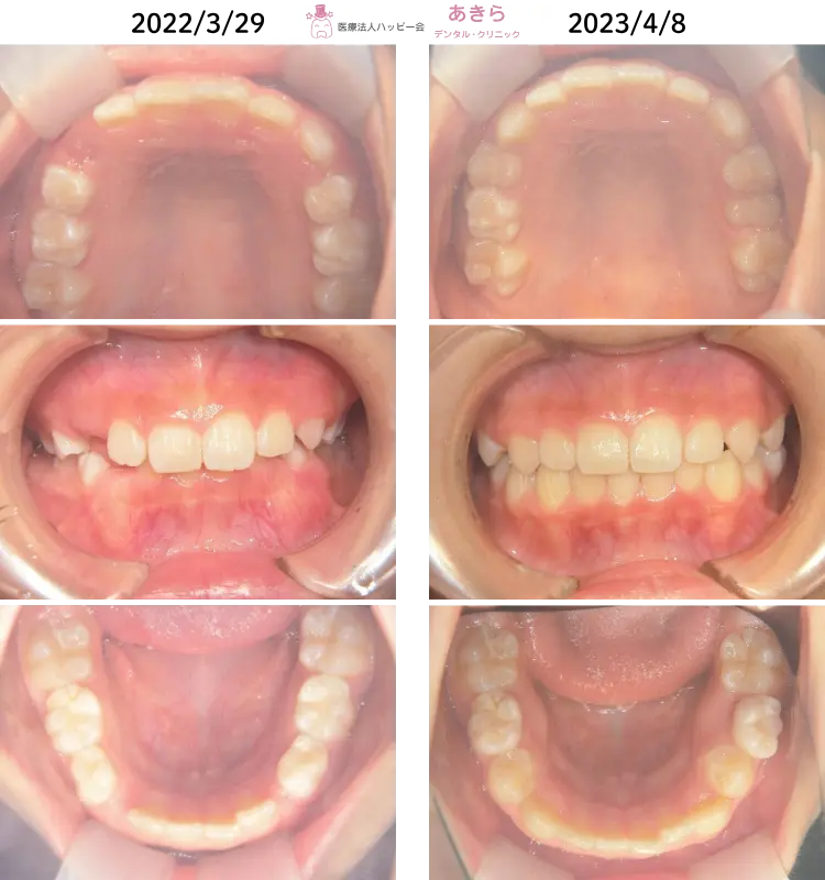
SH療法


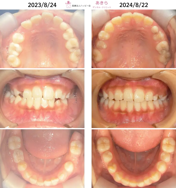
SH療法-症例-No.013-右上5番の著しい口蓋側転移位を伴なう症例
山形市の歯医者「あきらデンタル・クリニック」のSH療法の症例をご紹介します。 SH… -
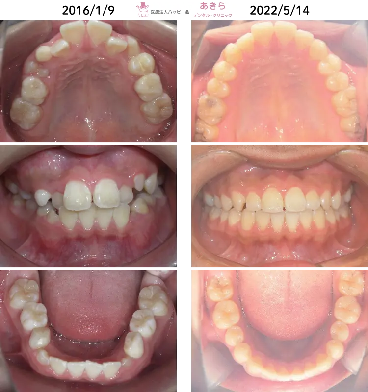
SH療法


SH療法-症例-No.012-外傷歯を伴う叢生(凸凹)の矯正症例
山形市の歯医者「あきらデンタル・クリニック」のSH療法の症例をご紹介します。 SH… -
症例


予防的矯正治療(プレオルソやマウスピース型装置を主に使用)-症例-No.008
山形市の歯医者「あきらデンタル・クリニック」の予防的矯正治療(プレオルソやマ… -
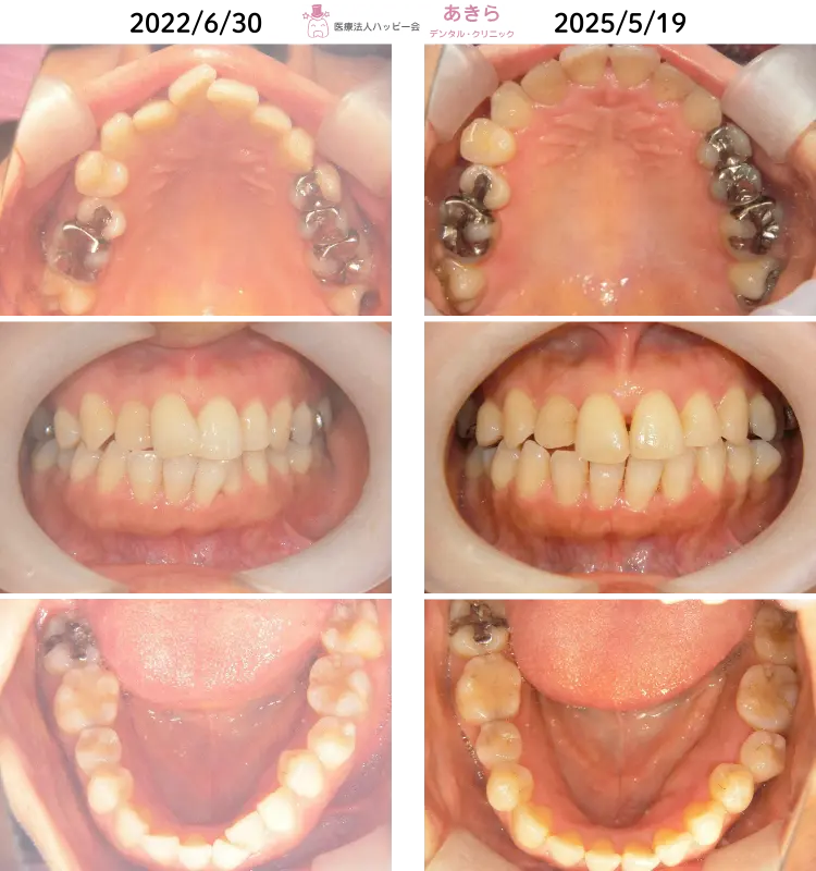
SH療法


SH療法-症例-No.011-下顎右側偏位を伴う「プレオルソ」を保定として使用した症例
山形市の歯医者「あきらデンタル・クリニック」のSH療法の症例をご紹介します。 SH… -
症例


予防的矯正治療(プレオルソやマウスピース型装置を主に使用)-症例-No.007
山形市の歯医者「あきらデンタル・クリニック」の予防的矯正治療(プレオルソやマ… -
SH療法


SH療法-症例-No.010-下顎反対咬合および下顎偏位症例
山形市の歯医者「あきらデンタル・クリニック」のSH療法の症例をご紹介します。 SH…
Otehr
その他
Access
アクセス
| 医院名 | あきらデンタル・クリニック |
|---|---|
| 住所 | 〒990-0810 山形県山形市馬見ヶ崎1-2-3 |
| 電話番号 | 023-682-6480 |
| アクセス | JR北山形駅より車で約3分 月かげ幼稚園さん表通り沿い・ダイソー山形北店さんの並び |
| 駐車場 | 診療所前7台 近くの契約駐車場7台 |
| 診療時間 | 月・火・水・木 午前:09:00~12:30 午後:14:00~18:00 土曜日 午前:09:00~13:00 午後:14:00~16:00 |
| 休診日 | 日曜日・祝日・金曜日午後・学会参加日 ※祝日のある週は金曜日の午後も診療いたします。 |
Calendar
カレンダー
| 月 | 火 | 水 | 木 | 金 | 土 | 日 | ||||||||||||||
|---|---|---|---|---|---|---|---|---|---|---|---|---|---|---|---|---|---|---|---|---|
| ||||||||||||||||||||
| ||||||||||||||||||||
| ||||||||||||||||||||
| ||||||||||||||||||||
| ||||||||||||||||||||
休診日
09:00~13:00 / 14:00~16:00
























