山形市の歯医者「あきらデンタル・クリニック」の予防的矯正治療(プレオルソやマウスピース型装置を主に使用)の症例をご紹介します。
目次
指しゃぶりと舌前突癖を伴うケース
主訴 要望
初診
初診 … 2022年12月8日 ⇒ 2024年10月28日
8歳7ヶ月 ⇒ 10歳5ヶ月
主訴
- 前歯が八の字に開いているのが気になる!
- 前歯が噛んでいないのが気になる!
- 歯が大きい感じがある
学年
小2
家族歴
母:普通
父:普通
兄:やや凸凹
姉:下顎前歯部叢生ならびに反対咬合を伴う開咬
特徴
- 上顎左右1番離開(正中離開)~低位 ⇒ 前歯部開咬
- 上唇小帯付着異常
- 下顎前歯部叢生(上顎前歯も叢生)
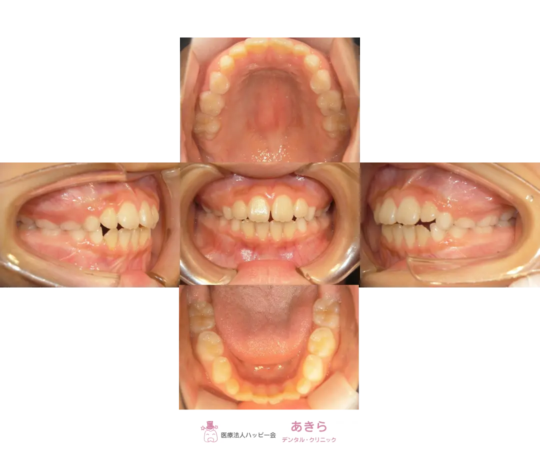
症例写真
2022年12月8日 初診時口腔内写真 ⇒ 2023年1月末 プレオルソスタート

2024年10月28日 経過口腔内写真

解説
概要
※0歳から6歳まで「指しゃぶり」がありました。舌を前へ突出する癖を伴う開咬症例です。
- 2023年1月末
- 「プレオルソ X タイプⅡ」スタート
- プレオルソの調整や拡大を繰り返し行いました。
- 日中1~2時間使用と就寝時の使用を厳守していただきました。
- プレオルソ拡大を随時行っております。
- 経過資料採得をして『SH療法』移行検討
治療期間
1年5ヵ月
回数
8回
経過資料採得をして『SH療法』へ移行予定です。
費用
330,000円(税込)…当時の価格です
注意事項
装置をただはめただけでは歯並びは治りません。装置で覚えた「鼻で息をする」「正しい唾の飲み込み」「しゃべり方」「正しい姿勢をする」など …
いかに装置を外している際の筋肉が正しい機能をするかで結果が変わります。
また、装置以外もそのお子さんに応じた機能訓練(あいうべ体操・リップルトレーナー・風船トレーニング・ガムトレーニングなど)
をご指導~実践していただきました。
耳鼻科的疾患が強く残る場合には結果が上手く伴わない場合が考えられます。