歯をなるべく削らずに、しっかり噛める喜びを取り戻す
「歯を失ったけれど、入れ歯は避けたい」「インプラントは手術が不安」そんなお悩みをお持ちの方へ。
ヒューマンブリッジは、従来のブリッジや入れ歯に比べて「削らない」「目立たない」「しっかり噛める」特徴を持つ、新しい選択肢の一つです。
山形市馬見ヶ崎のあきらデンタル・クリニックでは、なるべく歯を削らず、患者さんに負担の少ない治療を提供しています。
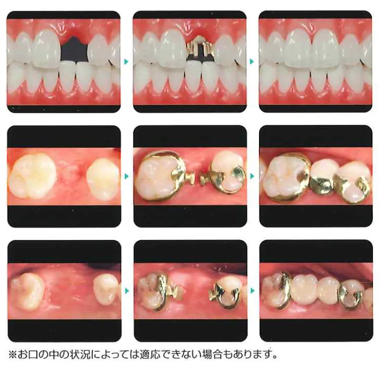
ヒューマンブリッジとは?
ヒューマンブリッジは、金属のワイヤーやクラスプ(留め具)を使わず、接着剤で固定するタイプのブリッジです。
メリット
- 歯をほとんど削らずに装着できる
- 無麻酔・痛くない・手術不要
- 取り外しの必要がなく、自分の歯のように噛める
- 治療期間が比較的短い
- 入れ歯より違和感が少なく、快適な装着感
一方で、ヒューマンブリッジは適応できる症例が限られるため、事前の診察で詳しくご説明します。

当院のヒューマンブリッジ治療の特徴
1. なるべく削らない・抜かない治療方針
あきらデンタル・クリニックでは、健康な歯を極力残すことを大切にしています。ヒューマンブリッジは、健康な歯をほぼ削らずに治療が可能なため、当院の治療方針と非常に相性が良い方法です。
2. 専門的な知識を持つ歯科医師が担当
ヒューマンブリッジの治療には、専門的な技術が必要です。当院では、補綴(ほてつ)治療に精通した歯科医師が担当し、患者さんに最適な治療を提案します。
3. 快適な院内環境で安心の治療
「歯医者が苦手」という方も安心できるよう、リラックスできる環境を整えています。痛みを抑えた治療や、患者さん一人ひとりに寄り添ったカウンセリングを行い、不安なく治療を受けられるようサポートします。
こんな方におすすめ
ヒューマンブリッジは、以下のような方に適しています。
- 歯を失ったが、できるだけ健康な歯を削りたくない
- 部分入れ歯に違和感がある
- インプラント手術に抵抗がある
- 短期間でしっかり噛める歯にしたい
- 見た目が自然なブリッジを選びたい
まずはご相談いただき、ご自身に合った治療法を一緒に考えましょう。
他の治療法との比較
| 治療法 | 健康な歯を削る必要 | 目立ちにくさ | 取り外し | 手術の必要性 |
|---|---|---|---|---|
| ヒューマンブリッジ | ほぼ削らない | ◎ 目立たない | × 必要なし | × なし |
| 従来のブリッジ | 削る必要あり | 〇 比較的自然 | × 必要なし | × なし |
| 部分入れ歯 | 削る必要なし | △ 金属が目立つことも | ◎ 取り外し可 | × なし |
| インプラント | 削る必要なし | ◎ 非常に自然 | × 必要なし | ◎ あり |
治療の流れ
お口の状態をチェックし、適応可能か診断
メリット・デメリットを詳しくご説明
精密な型取りを行い、専用のヒューマンブリッジを作製
違和感がないよう微調整しながら装着
快適に使い続けられるよう、メンテナンスを実施
治療期間は一般的に2〜3回の通院で完了することが多いです。

よくある質問(Q&A)
ヒューマンブリッジはどのくらい持ちますか?
適切なメンテナンスを行えば、5年以上使用できるケースもあります。
ただし、個人差があるため、定期的な歯科健診が重要です。
ヒューマンブリッジの費用は?
保険適用外の自由診療となります。
費用については事前にしっかりご説明し、患者さんが納得された上で治療を進めます。
装着後の違和感はありますか?
最初は少し違和感を感じることもありますが、多くの方が数日〜1週間ほどで慣れることがほとんどです
まずはお気軽にご相談ください
あきらデンタル・クリニックでは、ヒューマンブリッジによる治療を行っております。
患者さん一人ひとりのご希望に寄り添い、最適な治療法をご提案します。
「歯を削らずに失った歯を補いたい」「入れ歯やインプラント以外の選択肢を知りたい」という方は、ぜひ当院へご相談ください。









