山形市の歯医者「あきらデンタル・クリニック」のSH療法の症例をご紹介します。
目次
SH療法の概要
あわせて読みたい


SH療法(狭窄歯列拡大法=顎拡大療法)
現代は食生活や生活習慣の大きな変化により、長い年月を経て日本人の顎骨が変化してきました。SH療法は、顎骨のマイナスの成長を本来であれば「その個人が成長するはず…
外傷による前歯部の段差を著しく認めるケース
主訴 要望
初診
2021年6月3日 ⇒ 2024年9月25日
12歳4ヶ月 ⇒ 15歳7ヶ月
中1 ⇒ 高1
主訴
- ┛1番が前へ出ているのが気になる!(本人)
- ┛2番が内側へ入っているのが気になる!(本人)
- 上下の凸凹が気になる!(お母様)
既往歴
鼻炎
小5に縄跳びにて転倒 ~ 右上1番脱臼破折露髄 ⇒ 根管治療へ
家族歴
父・母 ⇒ 普通~良い
第1子 ⇒ 普通
第2子 ⇒ 凸凹・乱杭い
特徴
上顎右側1番唇側転位
上顎右側2番舌側転位(矮小歯)
右下3番低位唇側転位
上下顎叢生
上下右側2番クロスバイト
上下顎狭窄歯列
歯牙脱灰著名
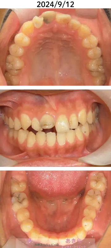
症例写真
2021年6月3日 初診時 ⇒ 7月15日 SHAスタート時

2024年9月12日 口腔内(経過)

2024年9月25日 最終時(歯を削らない治療終了後)

2021年6月3日 初診時 ⇒ 2024年9月25日 最終時

解説
右上1番が外傷により失活歯となり、矯正治療で動きにくい可能性があること。
右上2番が矮小歯なので、矯正治療のみで前歯の審美をよくすることは難しいことを了承の上で治療を開始しました。
永久歯の抜歯をしないことを考慮し「SH療法」を開始しました。
経過
- 2021年7月より「SHA=SH装置」SH療法スタート。
- 歯列が直立してくることにより、早期接触がおこるため、随時必要枠での咬合調整が必要になります。
- SHA修理1回
- 前歯部にパワーチェーンによる右上2番矮小歯の捻転改善を促しました。
- 2024年9月に保定
- 2024年同9月に「右上1番・2番を削らない治療」にて審美を回復しました。
- 経過観察をして最終資料採得を予定
回数
30回
治療期間
3年2ヶ月
費用
814,000円(税込)…当時の価格です。
注意事項
- 装置は1日8時間~10時間が基本です。(必須です)
- また、装置を外している際の「鼻で息をする」「正しい唾の飲み込み」「しゃべり方」 「正しい姿勢をする」「きちんとした咀嚼」など…いかに装置を外している際の筋肉が正しい機能をするかで結果が変わります。また、プレオルソ以外もそのお子さんに応じた 機能訓練(あいうべ体操・前噛み訓練など)をご指導しております。
- 態癖が SHA(SH装置)使用よりも上回って起きる場合には、結果が伴わないばかりか悪い方向へ動いたり、ズレたりすることがあります。