山形市の歯医者「あきらデンタル・クリニック」の予防的矯正治療(プレオルソやマウスピース型装置を主に使用)の症例をご紹介します。
目次
舌前突癖を伴うケース
主訴 要望
初診
初診 … 2021年8月24日
8歳7ヶ月 ⇒ 11歳9ヶ月
主訴
- 前歯が噛んでいないのが気になる!
- 生え変わっていくと永久歯が並ばないのではないか?
学年
小3 ⇒ 小6
家族歴
母:普通
父:普通
兄:小5 やや凸凹
妹:指しゃぶりがある
特徴
- 上顎左右1番萌出遅延~低位 ⇒ 前歯部開咬
- 上唇小帯付着異常
- 下顎前歯部叢生
- 脱灰著名(ホワイトスポット)
- 乳歯むし歯(++)
- 下顎前突(反対咬合) ⇒ 上顎骨前方成長不足による
- 上顎左右1番捻転
- 正中離開
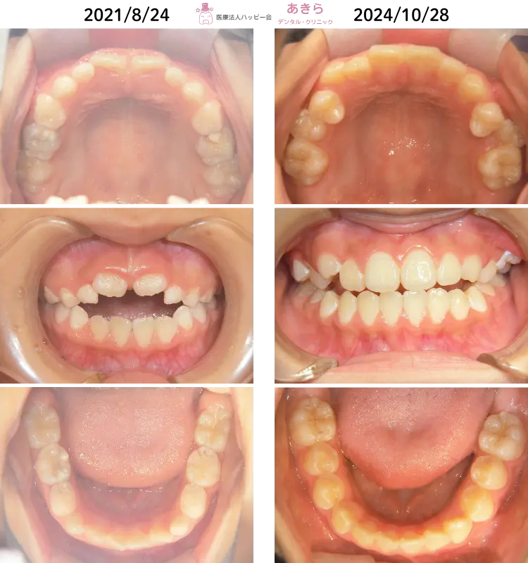
症例写真
2021年8月24日 ⇒ 2024年10月28日(2022年1月 プレオルソスタート)

解説
概要
※叢生(凸凹)と反対咬合を伴う開咬症例です。
- 2022年1月
- 上唇小帯切離移動&上顎左右B番抜歯後
- 「プレオルソ X タイプⅡ」スタート
- プレオルソ拡大を随時行っております。
- 2023年9月より
- 「ハビットコレクターユース」へ装置変更
- 日中1~2時間使用と就寝時の使用を厳守していただきました。
治療期間
2年9ヵ月
回数
12回
経過資料採得をして『SH療法』へ移行しました。
費用
330,000円(税込)…当時の価格です
注意事項
装置をただはめただけでは歯並びは治りません。装置で覚えた「鼻で息をする」「正しい唾の飲み込み」「しゃべり方」「正しい姿勢をする」など …
いかに装置を外している際の筋肉が正しい機能をするかで結果が変わります。
また、装置以外もそのお子さんに応じた機能訓練(あいうべ体操・リップルトレーナー・風船トレーニング・ガムトレーニングなど)
をご指導~実践していただきました。
耳鼻科的疾患が強く残る場合には結果が上手く伴わない場合が考えられます。