山形市の歯医者「あきらデンタル・クリニック」の予防的矯正治療(プレオルソやマウスピース型装置を主に使用)の症例をご紹介します。
目次
前歯が出て下顎後退が著しいケース
主訴 要望
初診
初診 … 2023年4月12日 ⇒ 2024年10月9日
9歳5ヶ月 ⇒ 10歳11ヶ月
主訴
- 前歯で食物を噛み切れないのが気になる!
- 前歯が出ているのが気になる!
学年
小4⇒ 小5
既往歴(癖)
指しゃぶりがあった!
一緒に寝ていた時 ⇒ 「歯ぎしり」「口を開いて寝ていた」
鼻炎(+) … 現在耳鼻科へ通院していない
家族歴
母:普通
父:顎が小さく出っ歯傾向 ⇒ 祖父:顎が小さい
弟:過蓋咬合
特徴
上顎前突
下顎後退
上顎左右1番離開
下顎前歯やや叢生
上唇小帯付着異常
舌小帯付着異常
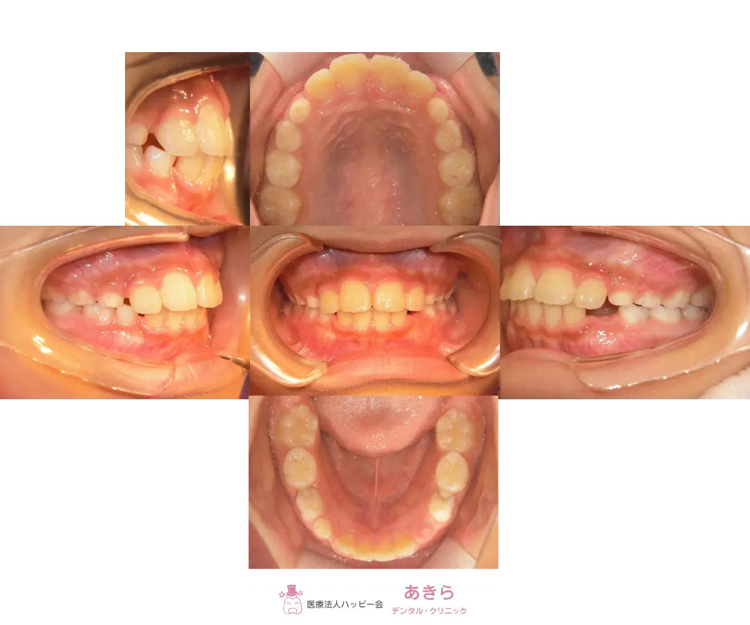
症例写真
2023年4月12日 初診時口腔内写真(2023年5月 ハビットコレクタースタート)

2024年10月29日 経過 口腔内写真

解説
概要
※口呼吸と指しゃぶり癖を伴い、鼻炎と歯ぎしりがありました。「下顎後退を伴う上顎前突」症例です。
治療期間
1年5ヶ月
回数
10回
経過資料採得をして『SH療法』移行予定
費用
434,500円(税込)…当時の価格です
注意事項
装置をただはめただけでは歯並びは治りません。装置で覚えた「鼻で息をする」「正しい唾の飲み込み」「しゃべり方」「正しい姿勢をする」など …
いかに装置を外している際の筋肉が正しい機能をするかで結果が変わります。
また、装置以外もそのお子さんに応じた機能訓練(あいうべ体操・リップルトレーナー・風船トレーニング・ガムトレーニングなど)
をご指導~実践していただきました。
耳鼻科的疾患が強く残る場合には結果が上手く伴わない場合が考えられます。