山形市の歯医者「あきらデンタル・クリニック」のSH療法の症例をご紹介します。
目次
SH療法の概要
あわせて読みたい


SH療法(狭窄歯列拡大法=顎拡大療法)
現代は食生活や生活習慣の大きな変化により、長い年月を経て日本人の顎骨が変化してきました。SH療法は、顎骨のマイナスの成長を本来であれば「その個人が成長するはず…
主訴 要望
初診
2017年1月28日⇒2020年8月11日
20歳10ヶ月⇒24歳6ヶ月
主訴
- 右上1番の捻じれが気になる
- 全体的に前に出てきたような気がする
既往歴
特記事項(-)
全身症状
非常に多い
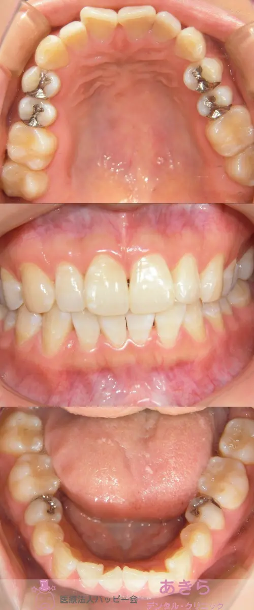
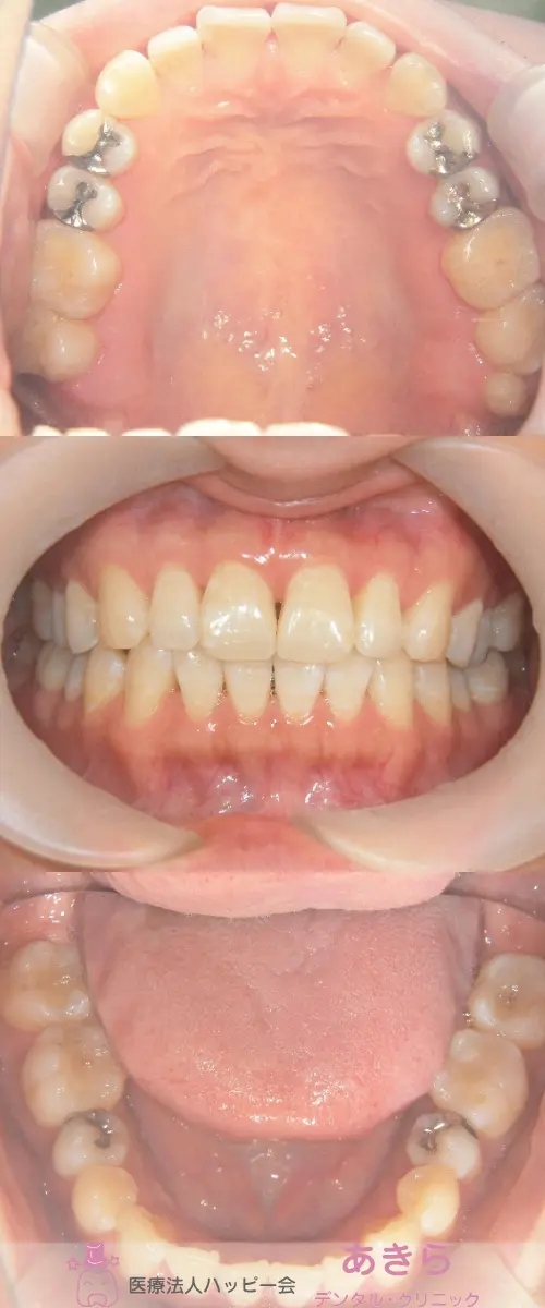
症例写真
2017年1月28日 初診口腔内写真

2017年3月11日 口腔内写真(SHA装置スタート時)

2018年8月25日 口腔内写真(経過)

2020年8月11日 口腔内写真(最終時)

解説
経過
- 2017年3月より「SHA=SH装置」SH療法スタート。
- 歯列が直立してくることにより、早期接触がおこりますので、随時必要枠での咬合調整が必要になります。
- SHA修理下1回
- 2018年8月に拡大終了
- SHA(SH装置)を少しずつ外し、その間はよく咀嚼することを指導して後戻りを利用して2020年8月に「SH療法」を終了。
回数
38回
治療期間
3年5ヶ月
費用
841,500円(税込)…当時の価格です。
注意事項
- 装置は1日8時間~10時間が基本です。(必須です)
- また、装置を外している際の「鼻で息をする」「正しい唾の飲み込み」「しゃべり方」 「正しい姿勢をする」「きちんとした咀嚼」など…いかに装置を外している際の筋肉が正しい機能をするかで結果が変わります。狭窄歯列拡大中に必要枠での噛み合わせの調整が必要になったきます。また、個人に応じた機能訓練(あいうべ体操・スポット練習噛み込み練習~ガムトレーニングなど) をご指導しております。
- 成人において凸凹が著しいケースでは「ブラックトライアングル」が目立つケースもあります。態癖がSHA(SH装置)使用よりも上回って起きる場合には、結果が伴わないばかりか悪い方向へ動いたり、ズレたりすることがあります。