山形市の歯医者「あきらデンタル・クリニック」のSH療法の症例をご紹介します。
目次
SH療法の概要
あわせて読みたい


SH療法(狭窄歯列拡大法=顎拡大療法)
現代は食生活や生活習慣の大きな変化により、長い年月を経て日本人の顎骨が変化してきました。SH療法は、顎骨のマイナスの成長を本来であれば「その個人が成長するはず…
右上5番の著しい口蓋側転移位を伴なうケース
主訴 要望
初診
2021年4月26日 ⇒ 2025年8月7日
12歳2ヶ月 ⇒ 16歳7ヶ月
中1 ⇒ 高2
主訴
- 上顎左右1番が反った感じが気になる!(捻転)
- 上顎左右2番が中へ入っているのが気になる!
- 右上5番の位置が異常なのが気になる!
既往歴
鼻炎
家族歴
父・母 ⇒ 普通~良い
第1子 ⇒ 普通
第3子 ⇒ 乱杭い・上顎前突
特徴
上顎左右1番捻転
上顎右側2番舌側転位
右上5番口蓋側転位
上下右側2番クロスバイト
上下顎叢生
上顎左右2番矮小歯
上下顎狭窄歯列
歯牙脱灰著名
症例写真
2021年4月26日 初診時口腔内写真

2021年6月10日 口腔内写真(SH装置スタート)

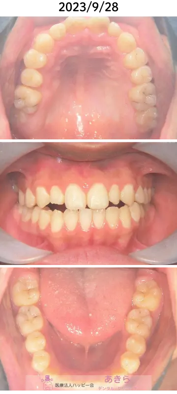
2023年9月28日 口腔内写真(経過)

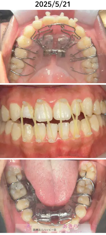
2025年5月21日 口腔内写真(顎間ゴムにて前歯部牽引)

2025年8月7日 口腔内写真(顎間ゴム牽引終了~保定へ)

2025年11月20日 口腔内写真(レジンボタン除去)

口腔内写真(初診時⇒最終時)

解説
前歯の凸凹と右上5番が口蓋側へ1歯分転移したケースでした。通常であれば抜歯矯正を提案されるケースでしょうが … 永久歯の抜歯をしないことを考慮し「SH療法」を開始しました。
経過
- 2021年6月より「SHA=SH装置」SH療法スタート
- 歯列が直立してくることにより、早期接触が起こりますので、随時必要枠での咬合調整が必要になります。
- SHA修理 上顎2回 下顎1回
- 2025年5月 前歯部の開咬の改善を希望のため『顎間ゴム併用』牽引開始
- 8月保定(牽引終了)
- 10月に唇側面ボタンを外し終了
回数
35回
治療期間
4年5ヶ月
費用
808,500円(税込)…当時の価格です。
注意事項
- 装置は1日8時間~10時間が基本です。(必須です)
- また、装置を外している際の「鼻で息をする」「正しい唾の飲み込み」「しゃべり方」 「正しい姿勢をする」「きちんとした咀嚼」など…いかに装置を外している際の筋肉が正しい機能をするかで結果が変わります。また、プレオルソ以外もそのお子さんに応じた 機能訓練(あいうべ体操・前噛み訓練など)をご指導しております。
- 態癖が SHA(SH装置)使用よりも上回って起きる場合には、結果が伴わないばかりか悪い方向へ動いたり、ズレたりすることがあります。