現代は食生活や生活習慣の大きな変化により、長い年月を経て日本人の顎骨が変化してきました。SH療法は、顎骨のマイナスの成長を本来であれば「その個人が成長するはずであった」場所まで、誘導(装置により拡大)していく方法になります。


SH療法は、単なる顎の拡大や歯並びの改善を目指しているのではありません!!
審美的なことはもちろん重要ですが、大切なのは、歯並びや噛み合わせが関与する全身への影響を考えることです。
※SH療法は顎の拡大を基本とし、単なる歯列弓の拡大と歯牙の整理にとらわれることなく、生体の正常性を観察しながら、皆様方のQOLの向上に寄与する方法と考えております!
顎の拡大(狭窄歯列拡大)により予防が期待できる疾患には、閉塞性睡眠時無呼吸障害、顎関節症、不定愁訴などが挙げられます。
SHA(SH療法で使用される装置について)ドイツと日本にて特許を取得したSlidexという弾性のバネを使用した新しい顎拡大装置です。
このSHAの取り扱いは、SHTA(Star Hill Therapy Association)会員のみが使用を許可されており、専門の技工部門(チーム)が行っております。どこの医院、どこの技工所でも取り扱えることはできません。あきらデンタル・クリニック院長は、毎月ほぼ定期的にSHTA主催のFUS(フォローアップセミナー)に参加し研鑽を積んでおります。
現在・台湾の歯科大学でも注目を集め、臨床応用されております!

SH療法で使用する装置=SHA(SHアプライアンス)
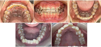
※SH療法は『狭窄歯列』に対応する療法です。
歯列弓の臼歯間幅径が狭いもの。
これには、臼歯が舌側に転位しているものと、顎骨自体が狭いものがある。
上顎では口蓋が深いものが多い。

(歯科矯正学 第4版 医師薬出版)
狭窄歯列の特徴
- 歯列の不正を伴う
- 上下顎骨の劣成長を伴う
- 口蓋幅の成長が少ない
- 歯列幅が狭い
- 低位舌を伴う
- 下顎が後退している
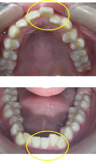
前歯の凸凹だけが問題なのでしょうか?

本来、この方が本来成長するはずであったところは上記のような上下顎のイメージになります!
顎が成長して(咀嚼や周囲の筋肉の調和などにより)歯が並ぶのに十分なスペースができさえすれば、乱れて生えてきた歯は自然に本来その歯が並ぶべき位置まで動いていってくれるという発想です

SH療法の特長
1日の使用時間は8時間~10時間です。(家で寝る時を含め)また、取り外しの装置ですので学校や職場へ持参する必要はありません。
利点
- 装置の取り外しは自分で行える。
- 基本的に歯を抜かない(親知らずにおいては、治療とは関係なく抜歯が必要になる場合が考えられます)
- 他人に知られない。
- 後戻りが生じにくい
- 骨格が変わることにより、鼻の通りが改善されたり全身の不定愁訴が改善される症例もある。
欠点
- 本人のやる気の問題=装置をきちんと続けられるか?
- 装置を外している時重要性を把握できるか?
- ワイヤー矯正のように1日中装着して短期間で終了しない=時間が掛かる!
- ご家族の協力が不可欠
顎が小さいものは、歯を顎のサイズ合わせて歯を並べていく。歯を抜いて数を減らすことにより、スペースを作り並べていく。という発想が一般的な矯正治療の考え方です。
SH療法は本来成長するはずであったところまで誘導(成長)していくという発想です。歯を並べるのは、あなた方自身の生体で歯自身が居心地の良い場所へ動いていくという発想です。(また、装置を外している時間の方が長く、正しい咀嚼、姿勢などが大変重要になります)
※当院での「SH療法」に関してご興味がある方,前向きに検討したい方はご連絡の上、アポイントをお取りください。審美治療や期間のことを優先にお考えの方は、矯正専門医への受診をおすすめいたします。
症例相談料金は5,500円(税込)、診断料金33,000円(税込)になります。その他基本料金などの詳細は、年齢や症例により異なるため、お電話などによるお問い合わせには応じかねますので、予めご了承ください。
クリックで外部ページが表示されます。
最新の症例
クリックで症例が表示されます。
-
SH療法
SH療法-症例-No.014-左上5番の口蓋側転移位を伴なう症例
-
SH療法


SH療法-症例-No.013-右上5番の著しい口蓋側転移位を伴なう症例
-
SH療法


SH療法-症例-No.012-外傷歯を伴う叢生(凸凹)の矯正症例
-
SH療法


SH療法-症例-No.011-下顎右側偏位を伴う「プレオルソ」を保定として使用した症例
-
SH療法


SH療法-症例-No.010-下顎反対咬合および下顎偏位症例
-
SH療法


SH療法-症例-No.009-前歯の萌出遅延と埋伏を伴う難症例
-
SH療法


SH療法-症例-No.008-上顎左右5番の萌出障害を伴うケース
-
SH療法


SH療法-症例-No.007-前歯の捻じれと叢生(凸凹)を伴うケース
-
SH療法


SH療法-症例-No.006-上下前歯部叢生(凸凹)を伴うケース
-
SH療法


SH療法-症例-No.005-前歯叢生(凸凹)を伴うケース
-
SH療法


SH療法-症例-No.004-特に前歯の凸凹が気になるケース
-
SH療法


SH療法-症例-No.003-凸凹著しく前歯の前突を認めるケース
-
SH療法


SH療法-症例-No.002-上顎前歯部の捻転を認めるケース
-
SH療法


SH療法-症例-No.001
