山形市の歯医者「あきらデンタル・クリニック」のSH療法の症例をご紹介します。
目次
SH療法の概要
あわせて読みたい


SH療法(狭窄歯列拡大法=顎拡大療法)
現代は食生活や生活習慣の大きな変化により、長い年月を経て日本人の顎骨が変化してきました。SH療法は、顎骨のマイナスの成長を本来であれば「その個人が成長するはず…
左上 1 番萌出遅延
主訴 要望
初診
2019年4月6日 ⇒ 2021年5月8日
9歳10ヶ月 ⇒ 12歳11ヶ月
主訴
左上1番が生えてこないのが気になる!
職業
小4 ⇒ 小6
家族歴
母:凸凹(上顎前突傾向)
父:普通
姉(長女):凸凹、出っ歯 ⇒ 矯正経験有
姉(2女):普通
特徴
左上1番萌出遅延(萌出困難)
上下前歯部叢生
右上5番捻転
高口蓋
上下顎前突(上下歯牙の傾斜より)
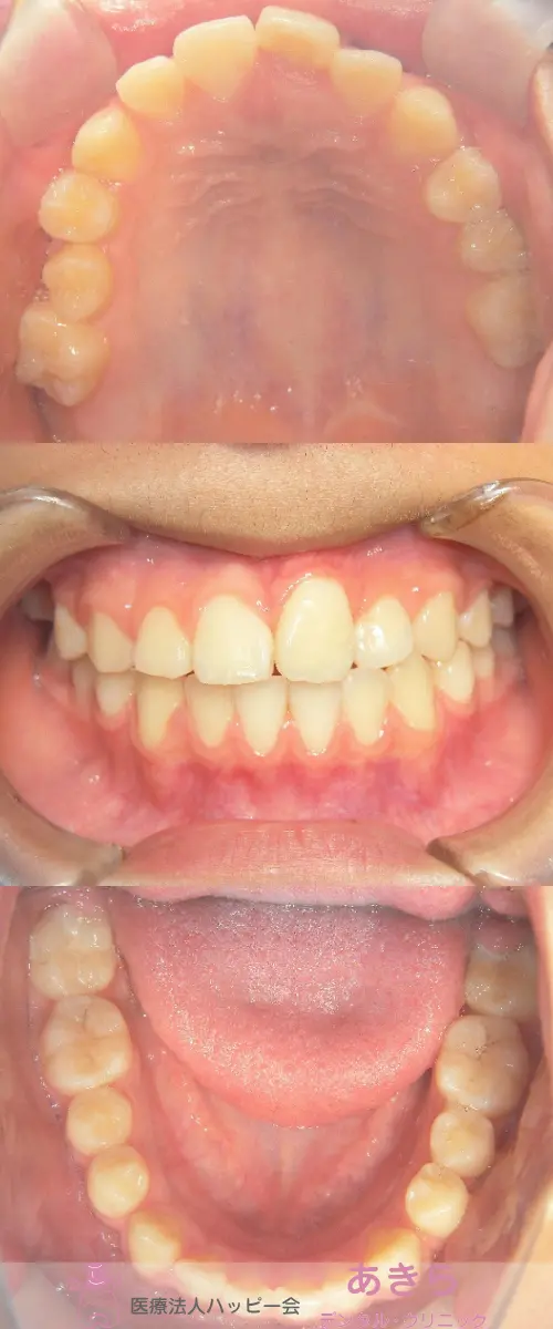
症例写真
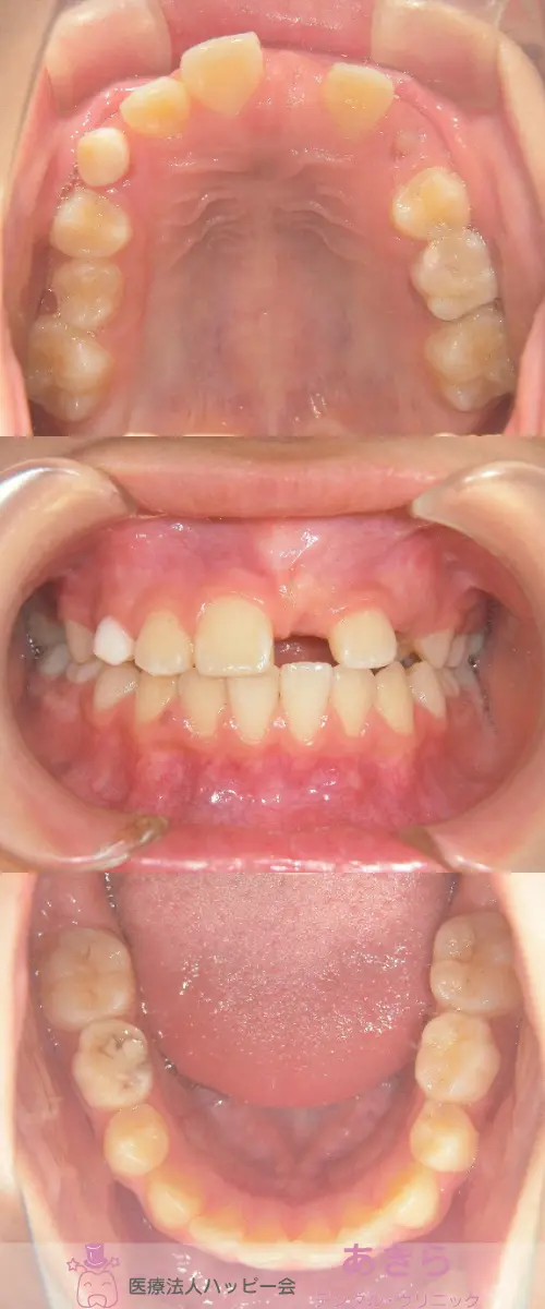
2019年4月6日 初診時口腔内写真

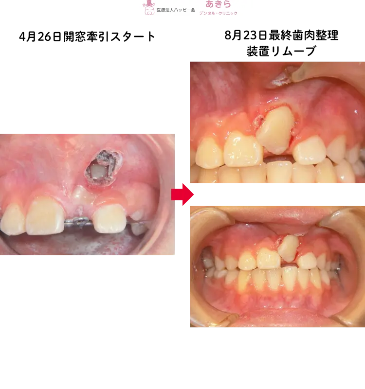
※経過…┗1番開窓&牽引(2019年)

2019年10月6日 口腔内写真

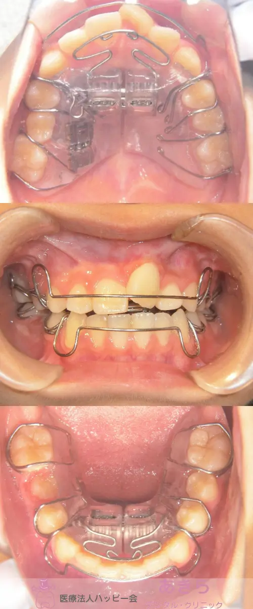
2019年11月29日 口腔内写真(SH装置スタート)

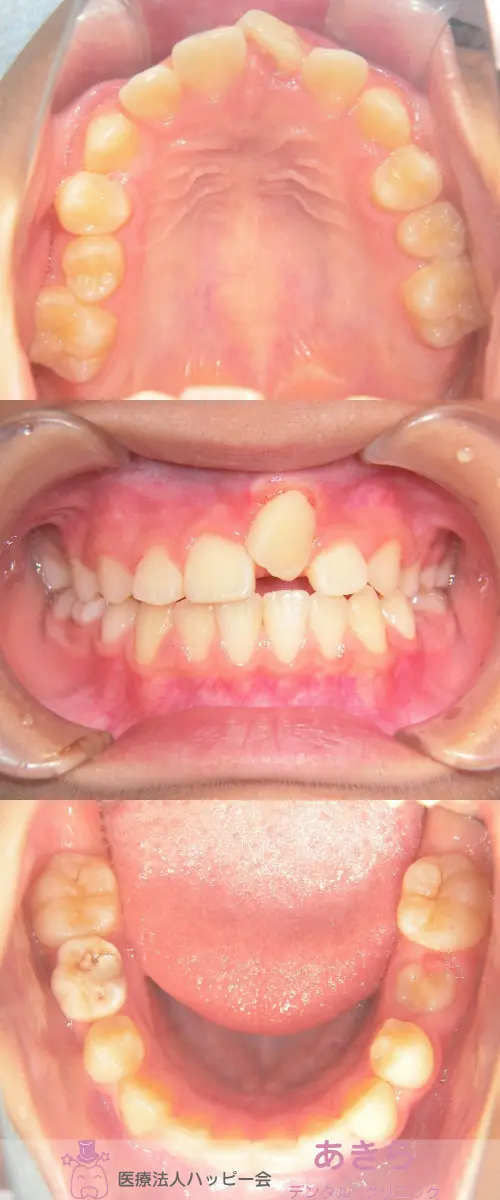
2021年5月8日 口腔内写真(経過時)

2019年4月9日 初診時 ⇒ 2021年5月8日 口腔内写真(経過時)

解説
経過
- 右上1番の萌出障害と凸凹を主訴に来院されました。
- 永久歯の抜歯をしないで左上1番開窓~牽引からSH療法へ移行する治療計画を立案
- 2019年4月 開窓牽引スタート。
- 歯列が直立してくることにより、早期接触がおこるため、随時必要枠での咬合調整が必要になります。
- 2回装置を交換し、牽引を8月に終了
- 2019年11月末より SHA(SH装置)スタート
- SHA修理 下顎1回
- 2021年5月 SHA休止
- 「右上5番捻転歯の改善」と時期をみてSHA修理再開予定
回数
24回(開窓~牽引 9回)
治療期間
1年7ヶ月
費用
753,500円(税込)…当時の価格です。
注意事項
- 装置は1日8時間~10時間が基本です。(必須です)
- また、装置を外している際の「鼻で息をする」「正しい唾の飲み込み」「しゃべり方」 「正しい姿勢をする」「きちんとした咀嚼」など…いかに装置を外している際の筋肉が正しい機能をするかで結果が変わります。また、プレオルソ以外もそのお子さんに応じた 機能訓練(あいうべ体操・前噛み訓練など)をご指導しております。
- レントゲンなどにより、右上1番の形態は左上1番の形態と差異が認められ、歯頚線の段差が生じるであろうことを納得の上、治療を希望されました。
- 態癖が SHA(SH装置)使用よりも上回って起きる場合には、結果が伴わないばかりか悪い方向へ動いたり、ズレたりすることがあります。