山形市の歯医者「あきらデンタル・クリニック」のSH療法の症例をご紹介します。
目次
SH療法の概要
あわせて読みたい


SH療法(狭窄歯列拡大法=顎拡大療法)
現代は食生活や生活習慣の大きな変化により、長い年月を経て日本人の顎骨が変化してきました。SH療法は、顎骨のマイナスの成長を本来であれば「その個人が成長するはず…
症例写真
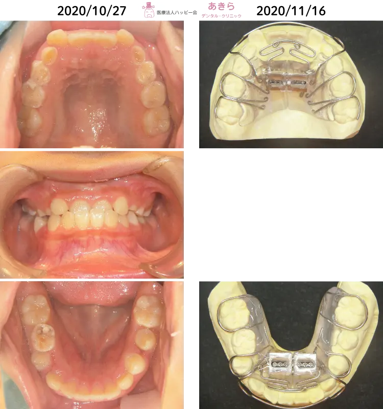
2020年10月27日 初診時 ⇒ 11月16日 SHAスタート時

2020年10月27日 初診時 ⇒ 2023年1月28日 最終時

解説
経過
- 噛み合わせが逆なことを主訴に来院されました。
- 顎位の偏位があり、放置すると顔貌の歪みにも繋がると考えられた症例です。
- 永久歯の抜歯をしないで、SH療法して反対咬合の改善を促し、「チョッピング咀嚼」から「グライディング咀嚼」に促すことを期待して始めました。
- 2023年10月より SHA(SH装置)スタート
- 歯列が直立してくることにより、早期接触がおこるため、随時必要枠での咬合調整が必要になります。
- 2024年8月より SHA(SH装置)による保定
- SHA修理 0回
- 永久歯交換期になったら装置を修理~仕上げに入る予定でしたが、患者様はご希望されませんでしたので、12歳臼歯萌出まで『プレオルソ』を使用して、2023年1月に終了としております。
回数
21回
治療期間
2年2ヶ月
費用
731,500円(税込)…当時の価格です。
注意事項
- 装置は1日8時間~10時間が基本です。(必須です)
- また、装置を外している際の「鼻で息をする」「正しい唾の飲み込み」「しゃべり方」 「正しい姿勢をする」「きちんとした咀嚼」など…いかに装置を外している際の筋肉が正しい機能をするかで結果が変わります。また、プレオルソ以外もそのお子さんに応じた 機能訓練(あいうべ体操・前噛み訓練など)をご指導しております。
- 態癖が SHA(SH装置)使用よりも上回って起きる場合には、結果が伴わないばかりか悪い方向へ動いたり、ズレたりすることがあります。