山形市の歯医者「あきらデンタル・クリニック」のSH療法の症例をご紹介します。
目次
SH療法の概要
あわせて読みたい


SH療法(狭窄歯列拡大法=顎拡大療法)
現代は食生活や生活習慣の大きな変化により、長い年月を経て日本人の顎骨が変化してきました。SH療法は、顎骨のマイナスの成長を本来であれば「その個人が成長するはず…
上顎左側萌出障害を伴なう症例
主訴 要望
初診
2023年 2月13日
9歳2ヶ月 ⇒ 10歳8ヶ月
主訴
上顎左右5番が生えれないのが気になる!
職業
小3 ⇒ 小5
家族歴
母:普通
父:普通
妹(第2子):普通
特徴
上顎左右1番離開
上顎左右2番萌出困難
上唇小帯付着位置異常
上顎前突(上顎左右1番唇側傾斜)
下顎前歯唇側傾斜
上下顎前歯部叢生(軽度叢生)
上下顎前歯部前方成長不足=劣成長(犬歯間距離不足)
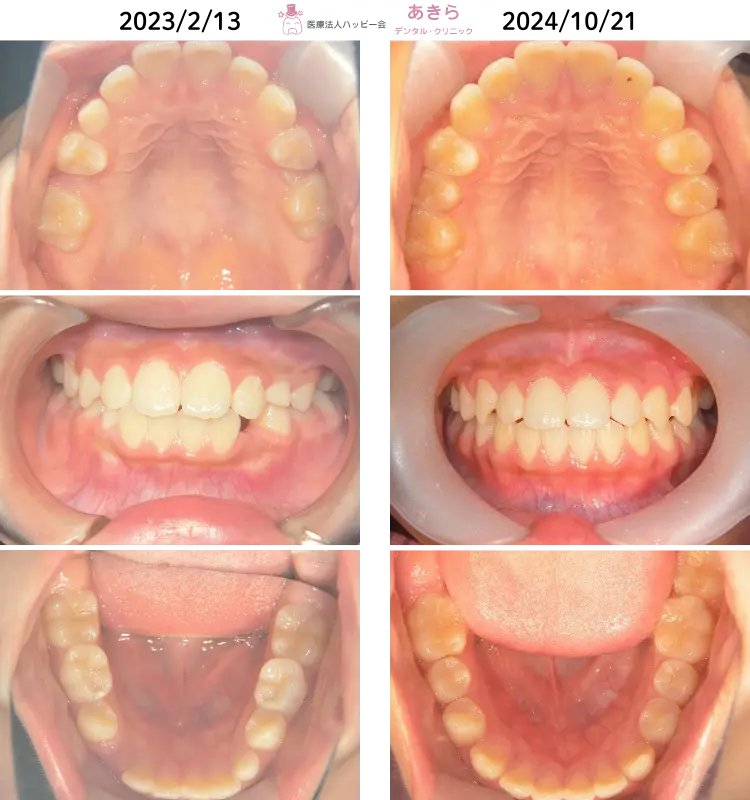
症例写真
2023年2月13日 初診時 ⇒ 8月21日 上顎SHA修理時

2023年2月13日 初診 ⇒ 2024年10月21日 経過時

解説
経過
- 矯正2期治療として2023年3月より「SHA=SH装置」SH療法スタート
- 永久歯の抜歯をしないで上顎左右5番を萌出させるべく治療計画を立案しました。
- 上下顎狭窄歯列の解除および右上6番の遠心移動を主に設計~スタートしました。
- 歯列が直立してくることにより早期接触がおこるため、随時必要枠での咬合調整が必要になります。
- 右上5番が萌出できたため、左上5番萌出を促すSHA(SH装置)修理設計を施しました。
- SHA修理 上下1回
- 上下左右7番の咬合を確認して「SH療法」を終了予定です。
回数
20回
後に経過資料採得をして『SH療法』終了予定。
治療期間
1年7ヶ月
費用
539,000円(税込)…当時の価格です。
注意事項
- 装置は1日8時間~10時間が基本です。(必須です)
- また、装置を外している際の「鼻で息をする」「正しい唾の飲み込み」「しゃべり方」 「正しい姿勢をする」「きちんとした咀嚼」など…いかに装置を外している際の筋肉が正しい機能をするかで結果が変わります。また、プレオルソ以外もそのお子さんに応じた 機能訓練(あいうべ体操・前噛み訓練など)をご指導しております。
- 態癖が SHA(SH装置)使用よりも上回って起きる場合には、結果が伴わないばかりか悪い方向へ動いたり、ズレたりすることがあります。