目次
SH療法の概要
あわせて読みたい


SH療法(狭窄歯列拡大法=顎拡大療法)
現代は食生活や生活習慣の大きな変化により、長い年月を経て日本人の顎骨が変化してきました。SH療法は、顎骨のマイナスの成長を本来であれば「その個人が成長するはず…
主訴 要望
初診~終了時
2016年7月11日⇒2022年4月7日
9歳6ヶ月⇒15歳3ヶ月
小4⇒高1
初診時主訴
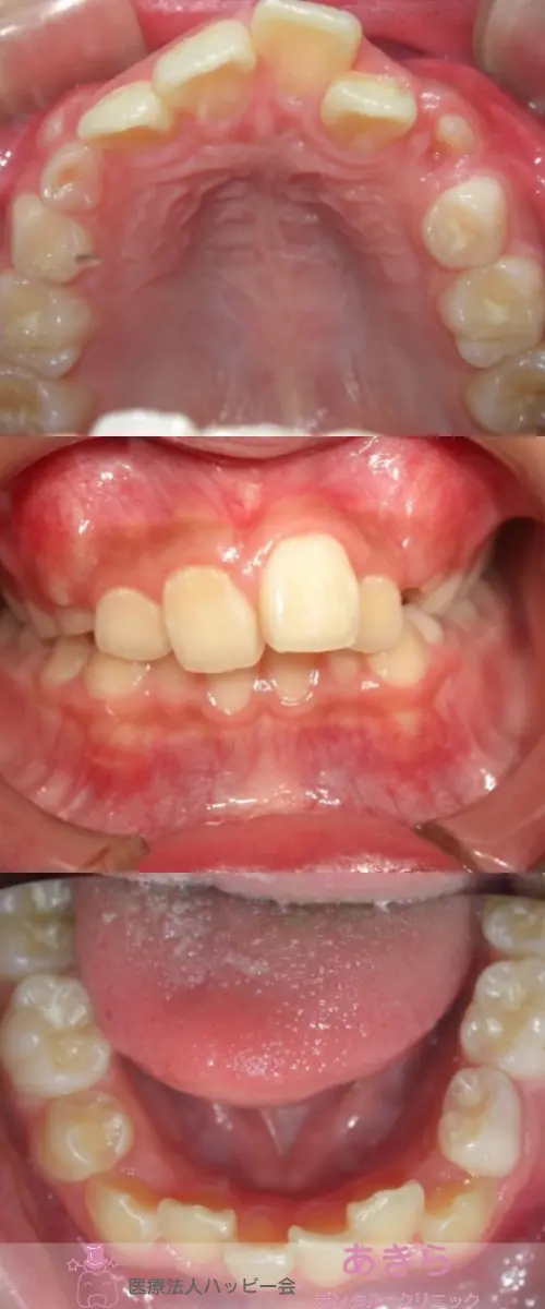
- 左上1番が出ているのが気になる
- 八重歯が出てきているのが気になる
既往歴
上顎過剰埋伏歯(左上1番根尖部)(2015年7月29日抜歯済み)
家族歴
特記事項(-)
著しい歯列不正は近親者(-)
特徴
左上1番の前方位
上顎左右犬歯の萌出スペース不足
下顎叢生 幼少の頃⇒指をくわえる(癖)
症例写真
2016年7月11日-初診時口腔内写真

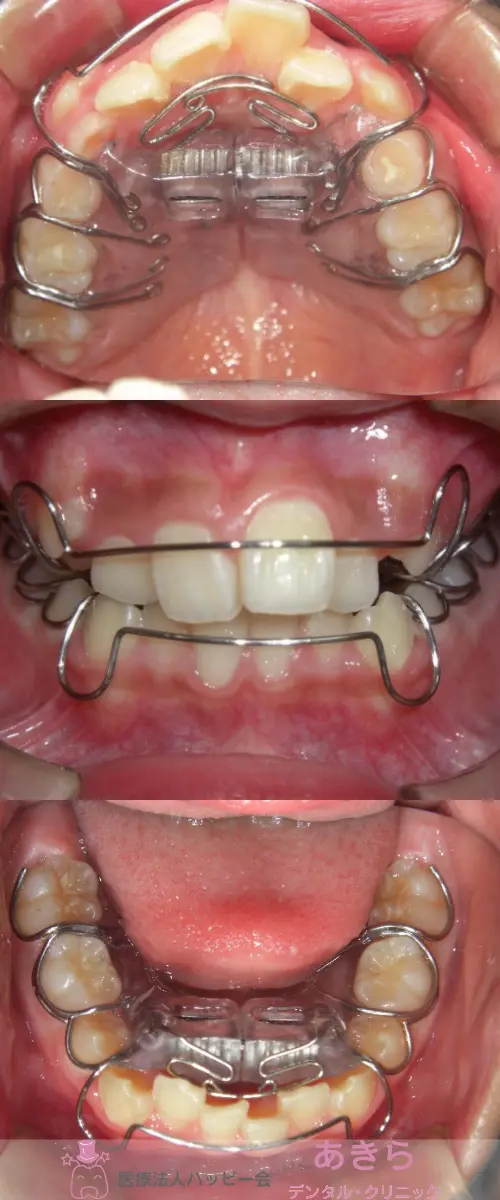
2016年10月17日-口腔内写真 (SH装置スタート時)

2021年10月2日-口腔内写真(経過時 顎位のズレを認める)

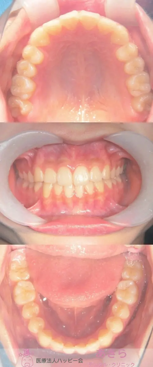
2022年4月7日-口腔内写真(最終時)

口腔内写真(初診時との比較)




解説
経過
- 2016年10月より「SHA=SH装置」SH療法スタート
- 永久歯交換期を含めSHA修理を行っていきました。
- 学校が忙しくなり何度か来院が難しい時期がありました。
- 2021年11月右側からの「頬杖=態癖」による下顎正中の左側偏位を認めました。
- 「ダイナミックポジショナー」を使用。
- 2022年4月「SH療法」を終了。
回数
52回
治療期間
5年5ヶ月
費用
935,000円(税込)…当時の価格です。
注意事項
- 装置は1日8時間~10時間が基本です。(必須です)
- また、装置を外している際の「鼻で息をする」「正しい唾の飲み込み」「しゃべり方」 「正しい姿勢をする」「きちんとした咀嚼」など…いかに装置を外している際の筋肉が正しい機能をするかで結果が変わります。狭窄歯列拡大中に必要枠での噛み合わせの調整が必要になったきます。また、個人に応じた機能訓練(あいうべ体操・スポット練習噛み込み練習~ガムトレーニングなど) をご指導しております。
- 態癖がSHA(SH装置)使用よりも上回って起きる場合には、結果が伴わないばかりか悪い方向へ動いたり、ズレたりすることがあります。