目次
過蓋咬合 症例 嚙み合わせが深く前歯が見えないケース
主訴 要望
初診
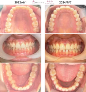
2022年4月28日⇒2024年10月7日 6歳1ヶ月⇒8歳7ヶ月
主訴
- 噛み合わせが深いのが気になる
- 下顎左右A番が短いのが気になる
学年
小1⇒小3
既往歴
特記事項(-)
家族歴
- 父⇒普通~良い
- 母⇒凸凹~乱杭い
- 祖母(母方)⇒凸凹~乱杭い
- 祖父(母方)⇒過蓋咬合
特徴
過蓋咬合 下顎左右A番咬耗(++)⇒歯ぎしりが上手くできない⇒下顎の運動が窮屈なため自由に動けないために(歯ぎしり) 起きたものとも考えられます。
症例写真
2022年4月28日⇒2024年10月7日(2022年5月プレオルソスタート)

2022年4月28日⇒2024年10月7日

解説
概要
- 2022年5月より「プレオルソソフト」タイプスタート
- 2023年4月に「プレオルソハード」タイプ変更
- 回数22回
- 日中1~2時間使用と就寝時の使用を厳守していただきました。
- プレオルソ拡大を随時行っております。
- 経過資料採得をして『SH療法』移行検討
治療期間
2年
費用
385,000円(税込)…当時の価格です
注意事項
装置をただはめただけでは歯並びは治りません。
装置で覚えた「鼻で息をする」「正しい唾の飲み込み」「しゃべり方」「正しい姿勢をする」など…いかに装置を外している際の筋肉が正しい機能をするかで結果が変わります。
また、プレオルソ以外もそのお子さんに応じた機能訓練(ガムトレーニング・ストロートレーニング,日常生活習慣など)をご指導しました。
耳鼻科的疾患が強く残る場合には結果が上手く伴わない場合が考えられます







